Nha khoa Dr Công cung cấp dịch vụ chữa tụt lợi uy tín, an toàn, đáp ứng nhu cầu khám chữa bệnh của khách hàng tại hà Nội. Với đội ngũ y bác sĩ dày dạn kinh nghiệm, chuyên nghiệp và có tâm cùng với hệ thống máy móc, trang thiết bị hiện đại hứa hẹn sẽ đem đến cho khách hàng trải nghiệm chữa trị hiệu quả, đẳng cấp và thoải mái.
Tụt lợi là gì? Như thế nào được gọi là tụt lợi?

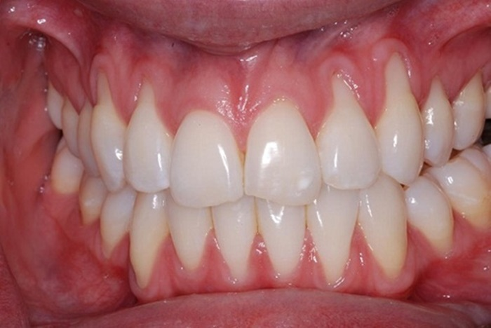
Tụt lợi ( hay tụt nướu) là tình trạng phần nướu bao quanh và bảo vệ chân răng có xu hướng di chuyển về phần cuống răng, khiến cho thân răng bị lộ ra bên ngoài ( hở răng). Bệnh này có thể chỉ xảy ra ở một vài răng nhưng cũng có thể là cả hàm răng trên và dưới. Tụt lợi có thể xảy ra kèm theo các triệu chứng như sưng nướu, hôi miệng, chảy máu chân răng.
Tụt lợi có thể được phân thành 2 loại. Loại thứ nhất là tụt lợi không thể thấy được do phần tụt được che phủ, chỉ có thể được phát hiện bằng máy dò xem các vị trí bám dính của mô quanh chân răng. Loại thứ hai là tụt lợi nhìn thấy được xảy ra khi phần lợi bị tụt có thể nhìn thấy bằng mắt thường.
Người bệnh thường có những triệu chứng dễ nhận biết như lợi bị sưng đỏ, đau, khó chịu. Hơi thở có mùi khó chịu, lợi bị co rút lại làm răng lung lay. Chảy máu chân răng sau khi đánh răng hay sử dụng chỉ nha khoa.
Nguyên nhân của chứng tụt lợi
Nguyên nhân liên quan đến bệnh lý có thể bao gồm:
viêm quanh răng và túi bệnh lý sâu có thể là tác nhân thường gặp gây nên tụt lợi.
Viêm nha chu là bệnh lý khiến mô lợi cùng các tổ chức nâng đỡ cho răng bị phá hủy, từ đó gây nên tụt lợi
Cao răng không được lấy thường xuyên, kịp thời tích tụ theo thời gian khiến cho phần chân răng bị tụt lợi gây chảy máu chân răng.
Nguyên nhân về sinh lý:
Tỷ lệ bị mắc tụt lợi tăng dần theo độ tuổi từ 8% ở trẻ em và có thể lên tới 100% khi qua tuổi 50
Thay đổi nội tiết tố ở phụ nữ cũng là nguyên nhân gây ra tụt lợi vì khi nội tiết tố thay đổi là lúc cơ thể trở nên nhạy cảm và rất dễ bị tấn công bởi vi khuẩn gây hại
Nnguyên nhân do sang chấn
Chải răng sai cách, dùng lực quá mạnh có gây ra mòn lợi ( tình trạng lợi bị mỏng và thấp dần)
Sang chấn khớp cắn khiến cho chứng tụt lợi thêm trầm trọng do tăng sinh biểu mô và viêm nhiễm tại chỗ
Các thói quen như nghiến răng khi ngủ, hút thuốc cũng là tác nhân xấu gây nên tụt lợi
Răng bị xô lệch gây tác động lớn lên lợi và các răng nằm kế cận khiến các răng này bị tụt lợi.
Có thể bạn quan tâm: Điều trị cười hở lợi hiệu quả tại Hà Nội
Phương pháp chữa tụt lợi hiệu quả

Tùy vào mức độ nặng nhẹ của bệnh mà có các phương pháp chữa trị phù hợp với tình trạng đặc thù của từng bệnh nhân. Cụ thể:
Tụt lợi mức độ nhẹ: người bệnh ở mức độ nhẹ sẽ có triệu chứng: răng không có hiện tượng ê buốt hay bất kỳ biểu hiện khó chịu nào. Với những trường hợp bệnh nhân mắc nhẹ, bác sĩ khuyên dùng phương pháp làm sạch vùng lợi như cạo vôi răng, loại bỏ các mảng bám và dùng kháng sinh.
Mức độ nặng: với người bệnh ở mức độ nặng, bác sĩ sẽ khuyến khích thực hiện loại bỏ túi nha và thực hiện ghép mô lợi hoặc ghép xương. Túy theo từng trường hợp cụ thể mà bác sĩ sẽ đưa ra những phương án hiệu quả, tối ưu nhất.
Chữa tụt lợi tại nhà
Tụt lợi có thể được chữa trị tại nhà bằng một số cách thức sau: chữa tụt lợi bằng trà xanh, dầu mè, hỗn hợp gồm có dầu oliu và chanh,...
Có thể tự chữa tụt lợi tại nhà đối với các trường hợp nhẹ và cần hết sức cẩn thận vì có thể sẽ gây ảnh hưởng xấu đến men răng.
Phòng tránh tụt lợi
Thực hiện vệ sinh răng miệng đúng cách, thường xuyên
Xây dựng chế độ ăn uống hợp lý, tốt cho sức khỏe răng miệng
Bỏ các thói quen xấu có thể gây tụt lợi: nghiến răng, hút thuốc, các thực phẩm và đồ uống quá nóng hoặc quá lạnh, ngọt, chua.
Nha khoa Dr Công - địa chỉ chữa tụt lợi uy tín, chất lượng tại Hà Nội

Phòng khám Dr Công với đội ngũ y bác sĩ nhiều năm kinh nghiệm trong lĩnh vực phẫu thuật răng - hàm - mặt cùng hệ thống trang thiết bị hiện đại sẽ trực tiếp thăm khám, tư vấn và điều trị cho từng trường hợp bệnh nhân.
Dr Công luôn đề cao hiệu quả của mỗi trường hợp, nên sẽ luôn đề xuất những phương án điều trị tốt nhất, phù hợp nhất cho bạn. Với quan niệm sự tin tưởng và hài lòng của khách hàng là yếu tố sống còn cho sự tồn tại và phát triển của mình, Dr Công luôn luôn coi trọng sự hiệu quả, mức độ hài lòng, vui vẻ của khách hàng sau mỗi ca điều trị.
Nha Khoa Dr Công – Địa chỉ Chữa trị Tụt Lợi uy tín, được nhiều người tin cậy và lựa chọn làm đối tác lâu dài:
Hotline: 0988 36 1108.
Email: drcongnhakhoa@gmail.com
Website: https://drcong.com.vn/
Địa chỉ: 6B Trần Hưng Đạo, Hà Nội