Những nốt mụn “xấu xí” là một trong những nguyên nhân khiến cho nhan sắc của “khổ chủ” bị “dìm” không thương tiếc. Đặc biệt là những nốt mụn trứng cá bọc cực kì “kém duyên”. Vậy đâu là nguyên nhân và cách trị mụn trứng cá hiệu quả nhất?
Mụn trứng cá bọc là gì?
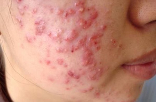
Mụn trứng cá bọc thường sẽ xuất hiện dưới dạng nổi cao trên bề mặt da kèm theo mẩn đỏ xunh quanh nốt mụn. Ở mức độ nhẹ, mụn có kích cỡ nhỏ, cứng và sưng tấy. Khi tình trạng trở nên nghiêm trọng hơn, những nốt mụn này sẽ bắt đầu lớn dần và lan rộng thành từng mảng. Chúng sẽ xuất hiện mủ, có thể chứa máu bên trong gây đau nhức khó chịu.
Nguyên nhân gây mụn trứng cá bọc
Sau đây là một số nguyên nhân dẫn đến hình thành mụn trứng cá bọc:
- Thay đổi Hormone ảnh hưởng đến việc sản xuất bã nhờn tăng nguy cơ xuất hiện mục trứng cá bọc.
- Sử dụng một số loại thuốc corticosteroid, testosterone hoặc lithium là nguyên nhân hình thành mụn.
- Lối sống không lành mạnh: thức khuya, sử dụng các chất kích thích, chế độ dinh dưỡng không hợp lý
- Căng thẳng và lo lắng
- Không chăm sóc và làm sạch da thường xuyên tạo điều kiện cho vi khuẩn phát triển trên da.
- Sử dụng các loại mỹ phẩm gây kích ứng da và làm tắc nghẽn lỗ chân lông.
Phương pháp 1: Trị mụn trứng cá bọc tại nhà hiệu quả nhất từ dân gian
1. Trị mụn trứng cá bọc bằng tỏi
Theo nghiên cứu cho thấy, tỏi chứa các hoạt chất kháng viêm thích hợp để làm dịu vùng da bị mụn. Trị mụn bọc trứng cá bằng tỏi giúp các nốt mụn nhanh chóng hết viêm, giảm đau nhanh hơn và khiến mụn biến mất.
Cách thực hiện:
Chuẩn bị 1 củ tỏi tươi, sau đó tách vỏ, giã nhuyễn rồi pha với 1 ít nước sạch.Trước khi thoa nước tỏi, bạn cần làm sạch da.Sau đó dùng tăm bông thấm với nước cốt tỏi đã chuẩn bị trước và chấm vào từng nốt mụn hoặc vùng da nổi mụn.Giữ nước tỏi tươi trên da trong khoảng 15-20 phút thì rửa sạch da với nước.2. Giấm táo trị mụn trứng cá bọc
Trong thành phần giấm táo có chứa 1 số axit hữu cơ được chứng minh có thể tiêu diệt được vi khuẩn P. acnes. Thêm vào đó, axit succinic trong giấm táo còn giúp ngừa hình thành sẹo mụn, hỗ trợ làm lành da nhanh.
Cách thực hiện:
Chuẩn bị hỗn hợp giấm táo và nước theo tỉ lệ 1 phần giấm táo với 3 phần nước.Dùng tăm bông thoa trực tiếp lên vùng da mụn trứng cá bọc.Để yên trong 5 – 20 phút rồi rửa lại với nước sạch.3. Trà xanh trị mụn trứng cá bọc ở mũi
Trà xanh giàu chất chống oxy hóa, flavonoid và tannin có thể kháng viêm, chống vi khuẩn. Nhờ đó, nốt mụn mọc ở vùng lông mày được đánh bay nhanh chóng. Vừa pha một tách trà xanh nhâm nhi vừa làm dịu mụn, một công đôi việc quá tuyệt vời rồi đúng không “cả nhà”?
Cách thực hiện:
Bạn có thể sử dụng một miếng bông tẩy trang thấm nước trà xanh hoặc túi lọc trà dùng để đắp trực tiếp lên da. Sử dụng thường xuyên để cải thiện nhanh chóng tình trạng này.4. Dùng nha đam trị mụn
Sở hữu hàm lượng Vitamin nhóm A, B, C, E cùng một số axit, khoáng chất khác như kẽm, magie; nha đam được biết đến với công dụng kháng khuẩn, kháng viêm, phục hồi da hư tổn, trị thâm sẹo và giúp da trắng sáng.
Cách thực hiện:
Gọt hết phần vỏ nha đam và lấy phần thịt gel bên trong nha đam.Làm sạch da trước khi bôi nha đam.Bôi một lớp mỏng phần gel của nha đam lên vùng da bị mụn.Massage và giữ nha đam trên da khoảng 20 phút rồi rửa mặt sạch.5. Bổ sung dầu cá và kẽm
Thiếu kẽm là một trong những nguyên nhân dẫn đến sự hình thành mụn bọc trứng cá trên bề mặt da. Bạn có thể thường xuyên bổ sung kẽm thông qua các thực phẩm hàu, các loại hạt, nấm, ngũ cốc, socola đen,… . Hoặc dùng mỹ phẩm bôi ngoài da chứa thành phần kẽm nếu cần thiết.
Omega-3 có trong dầu cá sẽ giúp làm dịu các phản ứng viêm của cơ thể, giảm sự sản xuất prostaglandinscác phân tử gây kích ứng trong da và tăng tốc độ phục hồi làn da tổn thương. Việc cung cấp omega-3 thường xuyên được chứng minh giúp các bệnh nhân giảm các vấn đề về mụn nhờ khả năng giảm viêm.
Phương pháp 2: Thuốc bôi trị mụn trứng cá bọc tại nhà phổ biến nhất
1. Thuốc bôi mụn bọc chứa Benzoyl Peroxide
Hoạt chất benzoyl peroxide khả năng điều trị mụn trứng cá nhờ vào đặc tính kháng khuẩn. Khi thoa lên da, hợp chất này sẽ bảo vệ làn da khỏi các vi khuẩn Propionibacterium acnes hình thành mụn trứng cá.
Tuy nhiên, hoạt chất này thường sẽ có một số tác dụng phụ trên da khiến làn da trở nên thô ráp, tẩy đỏ và châm chích. Nếu mắc phải các tình trạng này, bạn nên ngừng sử dụng trong vài ngày cho đến khi da ổn định trở lại.
2. Thuốc bôi chứa Axit Salicylic
Axit salicylic hay BHA được biết đến như là một chất kháng viêm hỗ trợ trị mụn bọc trứng cá và các loại mụn nói chung rất hiệu quả. Nhờ khả năng hoạt động như một chất tẩy tế bào chết, axit salicylic có tác dụng làm sạch, loại bỏ bít tắc và giúp thông thoáng lỗ chân lông. Đồng thời, kích thích quá trình lưu thông, hỗ trợ đào thải bã nhờn, bụi bẩn, cặn mỹ phẩm ra khỏi lỗ chân lông. Từ đó, giúp đẩy lùi mụn nhanh chóng.
3. Thuốc bôi chứa Retinoids theo hướng dẫn bác sĩ
Hoạt chất Retinol được xem như “trợ thủ đắc lực” giúp làm giảm bớt sự bùng phát mụn trứng cá bằng cách loại bỏ các tế bào chết làm tắc nghẽn lỗ chân lông. Retinoid cũng có tác dụng chống sưng tấy, kháng khuẩn nên rất hữu hiệu trong việc trị mụn.
Nếu bạn dùng các loại retinol dạng gel chứa cồn, hoạt chất này được coi là hiệu quả nhất trong hầu hết các công thức vì khả năng dễ hấp thụ, và phù hợp với làn da bị mụn bọc trứng cá, nhạy cảm. Trường hợp bạn có da khô, retinoid ở dạng kem sẽ tác động hiệu quả hơn trên làn da bạn.
Phương pháp 3: Tự nặn mụn trứng cá bọc, có nên không?
Việc tự nặn mụn tại nhà bừa bãi sẽ khiến cho những nốt mụn viêm nhiễm nặng hơn. Hơn nữa, chúng sẽ để lại các vết thâm và sẹo trên da rất lâu lành. Những nốt thâm và sẹo này có thể mất sau rất nhiều thời gian hoặc thậm chí tồn tại trên da vĩnh viễn.

Bạn tránh đụng vào các nốt mụn sau đây:
- Những nốt mụn ẩn chưa trồi nhân lên, chưa nhìn thấy đầu mụn.
- Nốt mụn bọc sưng to và đau, không thấy cồi mụn.
- Mụn viêm, sưng tấy, có mủ
- Nốt sần đỏ, không nhân, có máu tích tụ bên dưới mụn.
- Đối với mụn nằm ở các vị trí nguyên hiểm như vùng tam giác dọc theo mũi và miệng thì không nên nặn mụn vì rất dễ gây nhiễm trùng máu
Còn những nốt mụn đã chín, còi mụn khô, mụn đầu đen và sờ vào không có cảm giác đau thì nên nặn lấy nhân mụn. Khi nặng bạn cần thực hiện một cách dứt khoát để lấy hết nhân mụn tránh mụn tái phát và viêm, thâm.
Qua bài viết này, bạn đã có thêm một vài tips “đối phó” với nốt mụn “cứng đầu” này rồi đấy. Hãy theo dõi thêm một số bài viết khác của TCN.VN để có thêm những thông tin làm đẹp hữu ích nhé!
